自称寡人是什么意思(古代君王为什么都自称“寡人”?原来真相是这样)
2025-09-22 00:09:39
脾脏大小 脾脏正常解剖(CT)
脾脏正常解剖
脾脏外缘圆隆光滑,内缘呈分叶状,不同层面形态不同。大小变异较大,长12cm, 宽7cm,厚3~4cm。
•CT表现:CT判断有无脾增大,粗略的方法是用脾周肋单元估计,正常脾脏为5个肋单元以下,即2个肋间隙和3个肋骨或3个肋间隙和2个肋骨,大于5个肋单元则认为有脾增大,但扫描平面与脾脏长轴不平行,肋单元小于5个而下缘超过肝脏下缘也认为是有增大。密度均匀。
影像解剖
(1)位于左上腹部,上缘与在膈面相邻,下缘与左肾上腺、左肾上极邻,前缘与结肠脾曲邻。由腹膜包绕,是腹膜腔内器官。脾静脉在脾门处形成,在左肾、左膈脚、腹主动脉前方及胰腺后方走行与SMV汇合入门静脉。
(2)正常脾脏可有分叶或切迹,可突入到胰尾和左肾之间,下缘也可有切迹,CT可显示脾的小裂口。
(3)脾脏大小个体差异大,一般成人平均长为12cm。CT上显示脾脏形态因层面而异,上部和下部为新月形,脾门处呈内缘凹陷的半圆形或椭圆形。不超过5个肋单元,脾脏下缘超过肝脏下缘或其前、后缘超过中线均是脾脏增大的征象;
(4) 密度均匀一致,稍低于肝脏密度约8-10HU,+C扫描早期由于血流关系皮质强化明显髓质而呈密度不均表现即花斑脾,稍后皮髓质趋向一致;

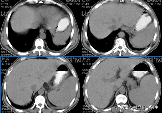
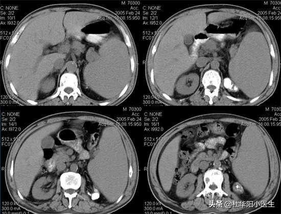
脾大

脾大
脾脏密度低于肝脏。增强后动脉期呈不均匀强化,门静脉期均匀强化。
2025-09-22 00:09:39
2025-09-22 00:05:07
2025-09-22 00:02:51
2025-09-22 00:00:35
2025-09-21 23:58:20
2025-09-21 23:56:04
2025-09-21 23:53:48
2025-09-21 04:27:26
2025-09-21 04:25:10
2025-09-21 04:22:55
2025-09-21 04:20:39
2025-09-21 04:18:23
2025-09-21 04:16:07
2025-09-21 04:13:52
2025-09-21 04:11:36
2025-09-21 04:09:20
2025-09-21 04:07:05
2025-09-21 04:04:49
2025-09-21 04:02:33